[full size image]
Stem cell niche
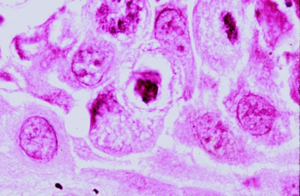
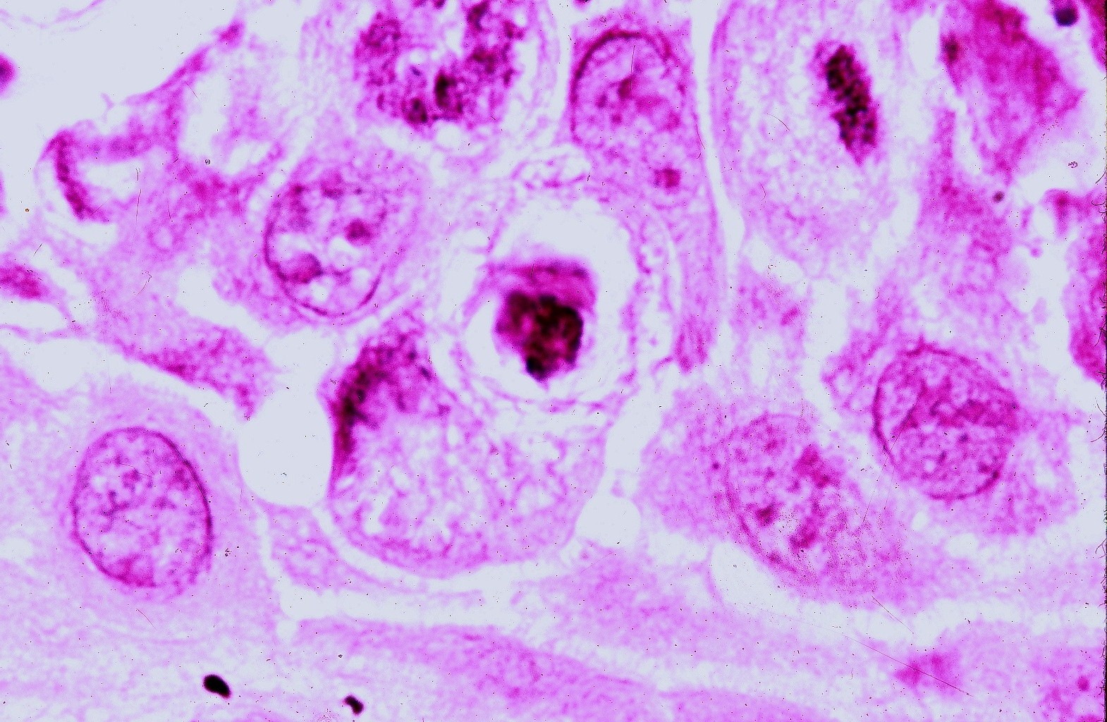
Niche in tumor (Mild intraepithelial neoplasia of uterine cervix) see also high power: AACR_Scan02.jpg
The Niche Architecture and Structure of Cancer Stem Cells
© 1993-2005 by the ISPO | About this Website | Contact Information