|
Home
|
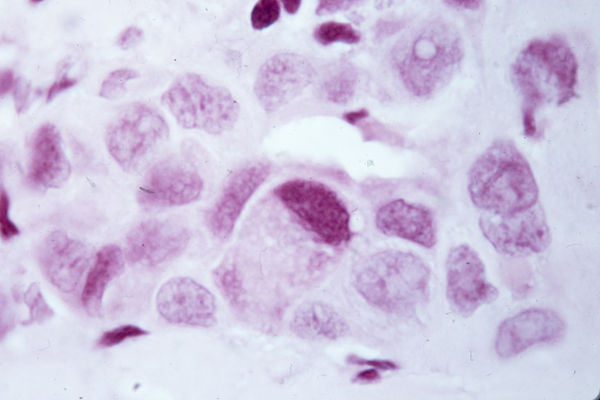
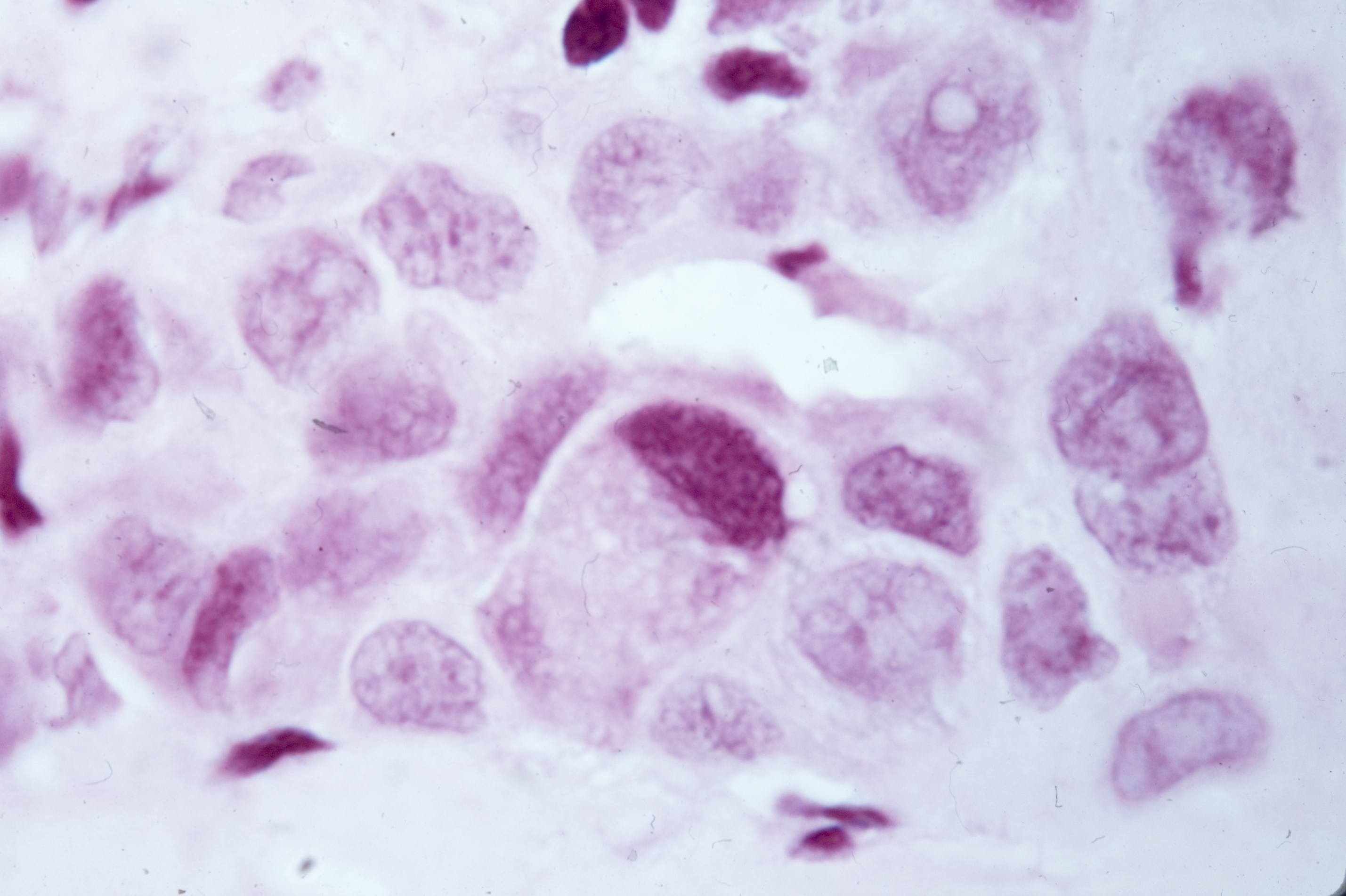
Niche self-renewal daughter cell (see low power: 1459): abandoned niche: may be remains of self renewal cell) Niche with single self-renewal daughter cell. (Papillary carcinoma of urinary bladder) |
This Page Last Updated
Site Contents
|