[full size image]
Stem cell migration
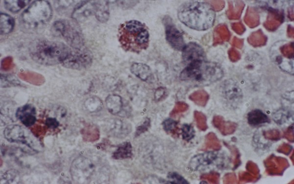
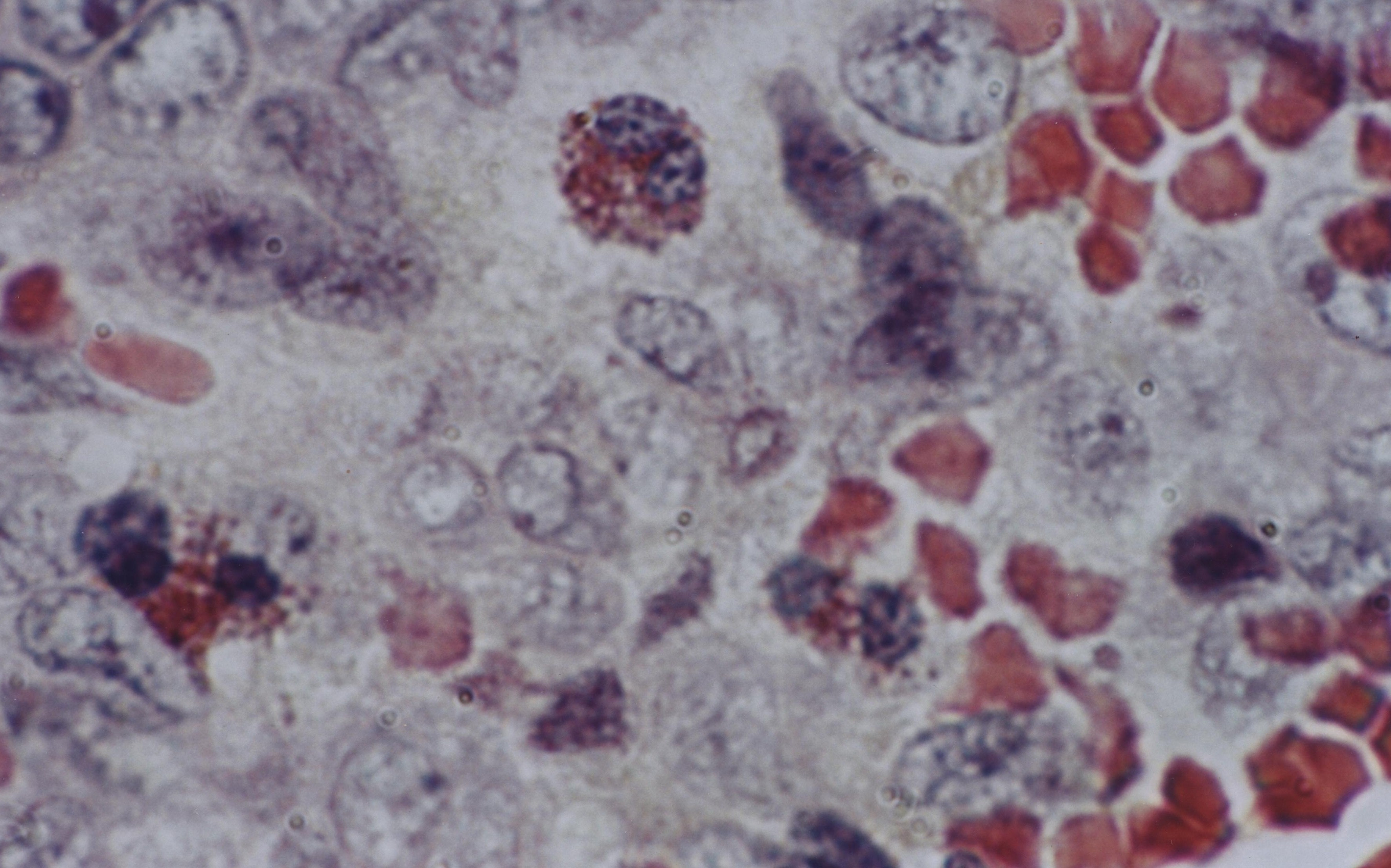
(see low power: AACR_Scan16.crop) Migrating stem cell with rugged border. Cell consists of uniform-sized spheres. (Adenocarcinoma colon)
The Niche Architecture and Structure of Cancer Stem Cells
© 1993-2005 by the ISPO | About this Website | Contact Information