[full size image]
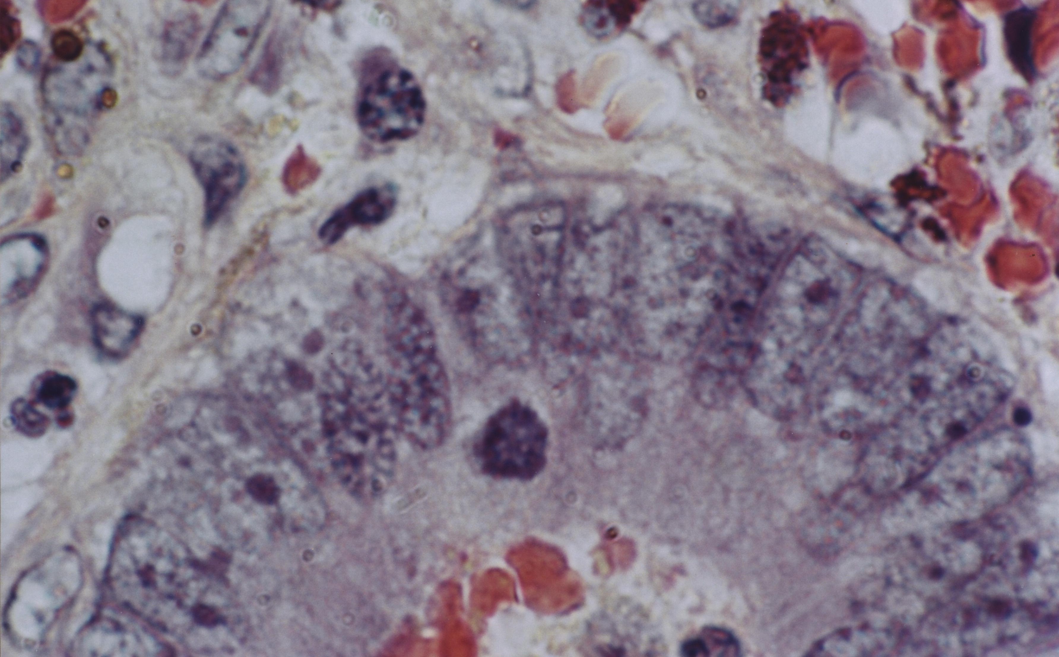
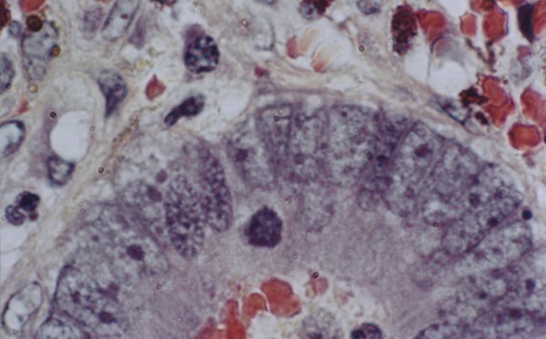
Migrating stem cell
(see low power AACR_Scan18-crop-circle.jpg) Migrating stem cell: Cell consists of uniform-sized spheres. (Adenocarcinoma colon)
The Niche Architecture and Structure of Cancer Stem Cells
© 1993-2005 by the ISPO | About this Website | Contact Information