[full size image]
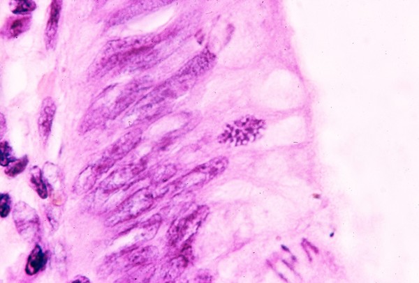
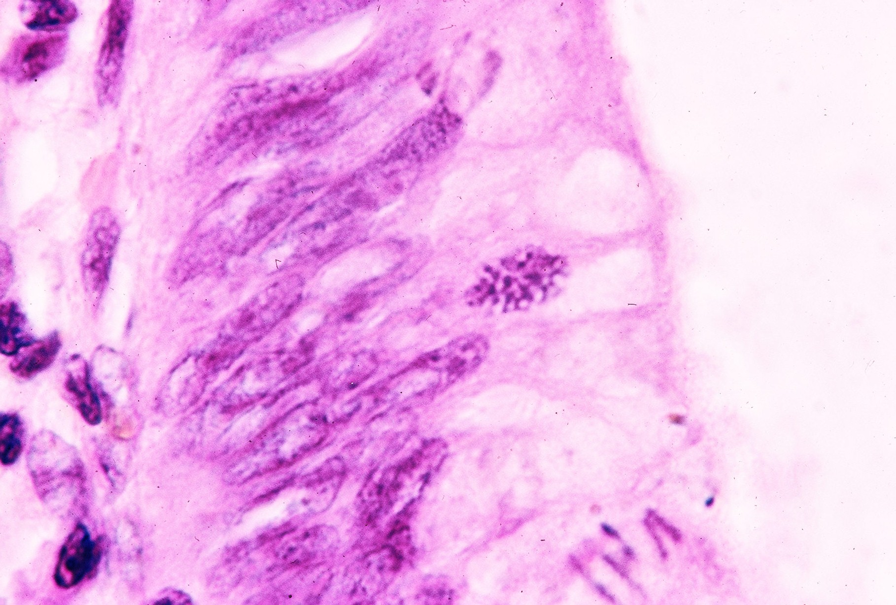
Migrating stem cell
(see low power DRNEPT2-R01-026-circle.Jpg) Migrating stem cell : Cell consists of uniform-sized spheres. (Benign area adjacent adenocarcinoma colon)
The Niche Architecture and Structure of Cancer Stem Cells
© 1993-2005 by the ISPO | About this Website | Contact Information