[full size image]
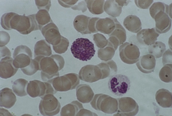
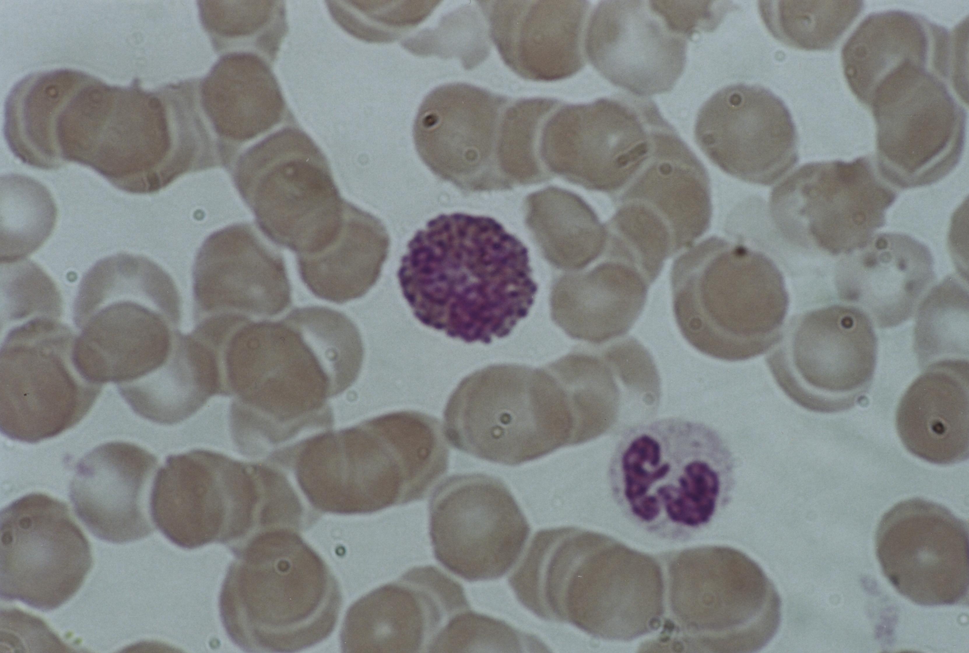
Migrating stem cell blood
Migrating stem cell with rugged border. (Blood smear from patient with uterine cervix cancer)
The Niche Architecture and Structure of Cancer Stem Cells
© 1993-2005 by the ISPO | About this Website | Contact Information