[full size image]
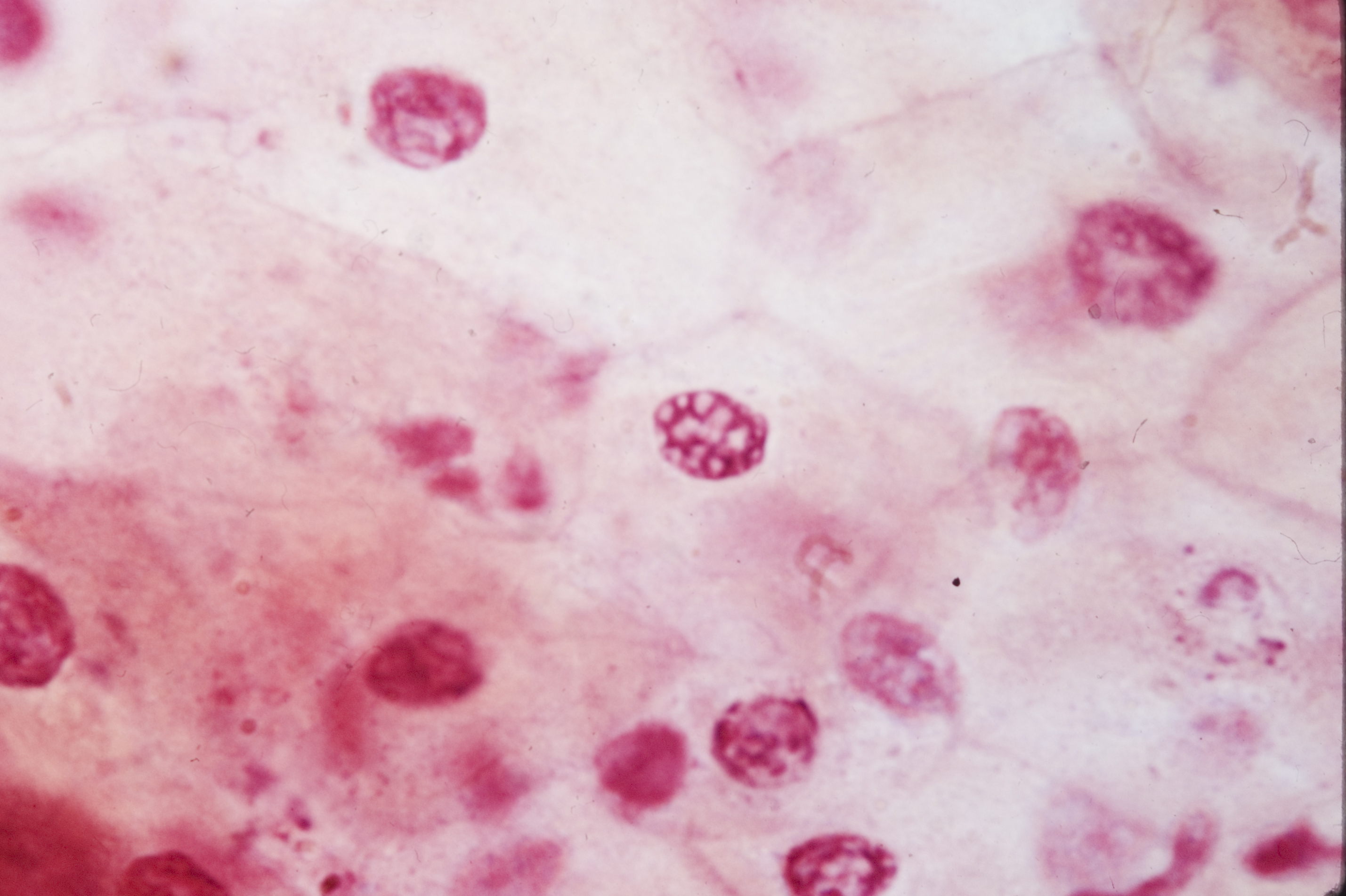
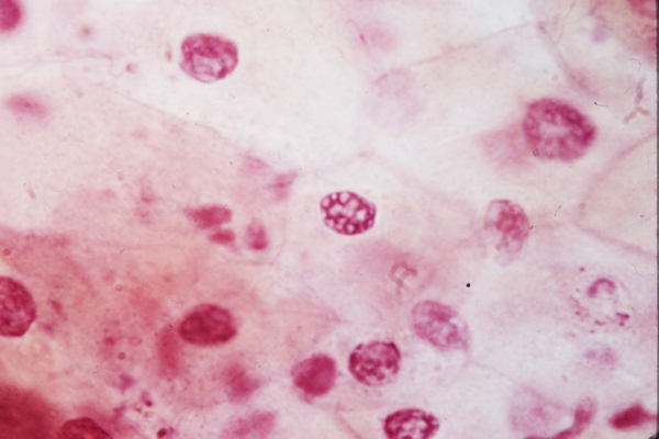
Buccal mucosa spread
Buccal mucosa: malignancy-associated nuclear structure of prominent spheres with uniform diameters (from patient with colon adenocarcinoma)
The Niche Architecture and Structure of Cancer Stem Cells
© 1993-2005 by the ISPO | About this Website | Contact Information