[full size image]
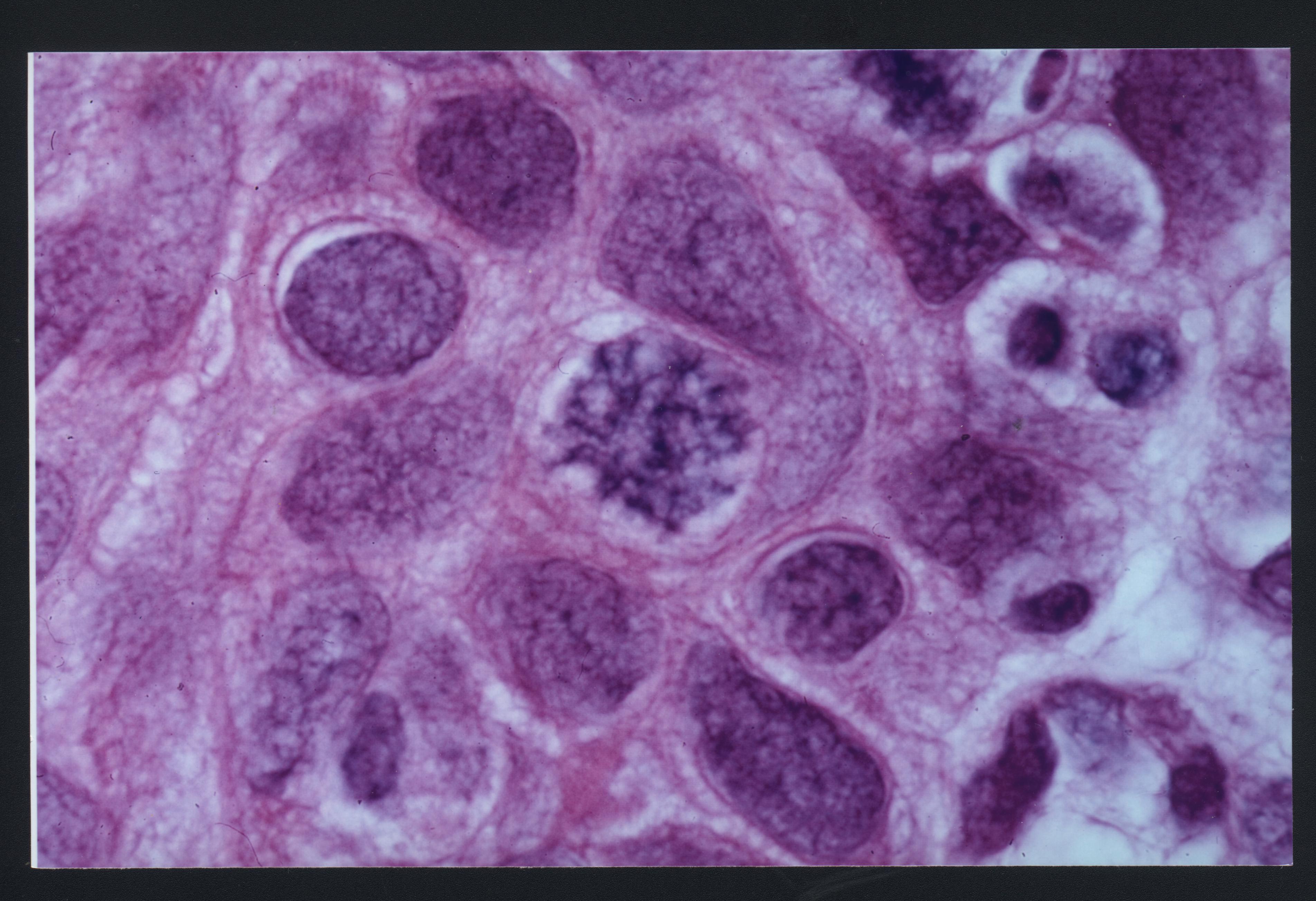
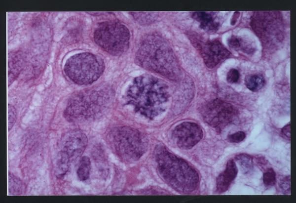
Stem cell niche progenitor cell
Stem cell niche with progenitor cell (Infiltrating carcinoma of uterine cervix - CIS)
The Niche Architecture and Structure of Cancer Stem Cells
© 1993-2005 by the ISPO | About this Website | Contact Information