|
Home
|
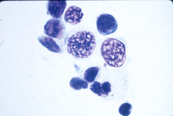
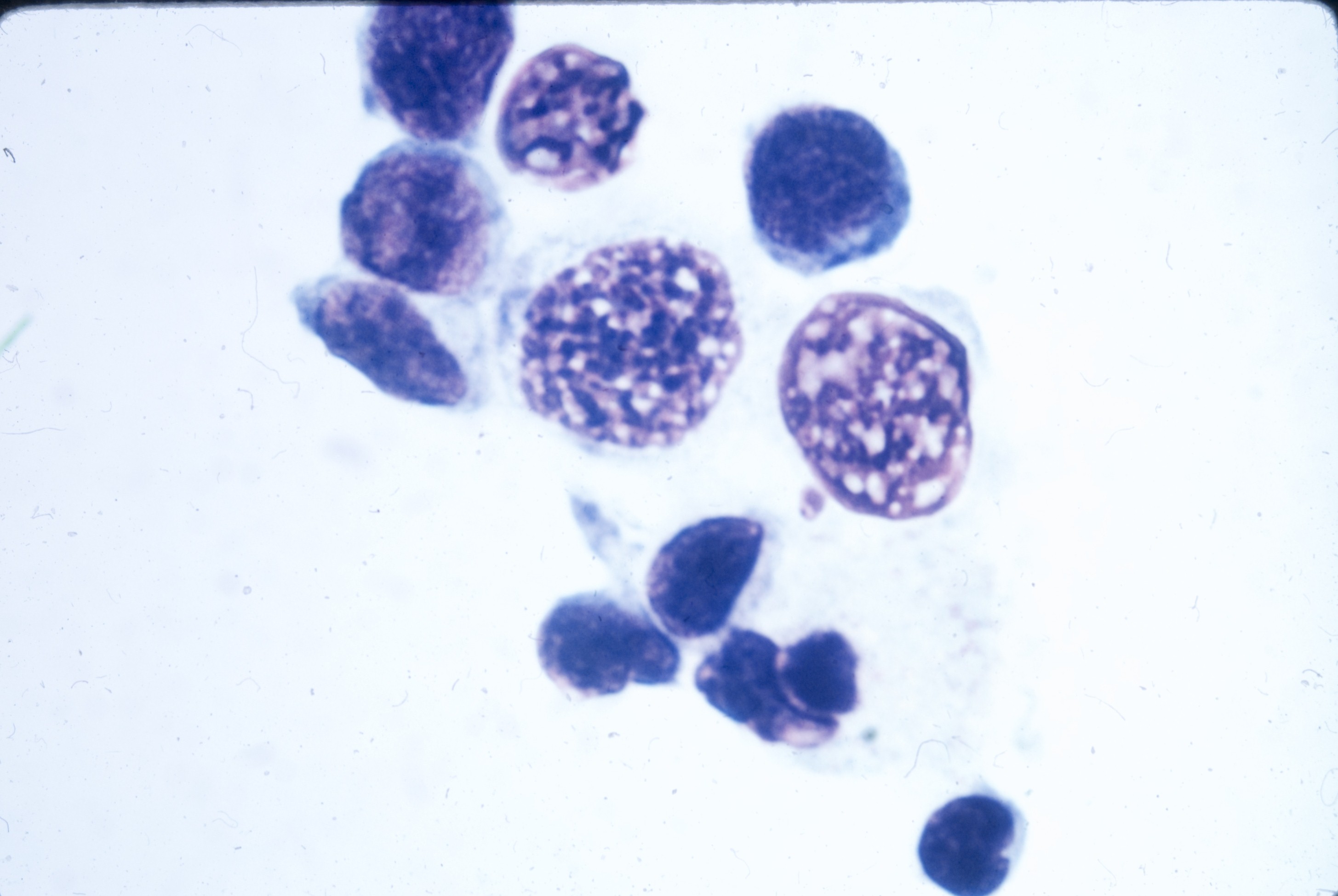
Circulating leukemic DNA-induced spheres Prominent spheres with uniform diameters similar to buccal cells. Circulating leukemic DNA-induced spheres -Anker study: same culture as DSC_1478.jpg. (see duplicate: DSC_1484.jpg) |
This Page Last Updated
Site Contents
|