[full size image]
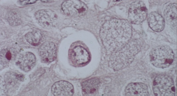
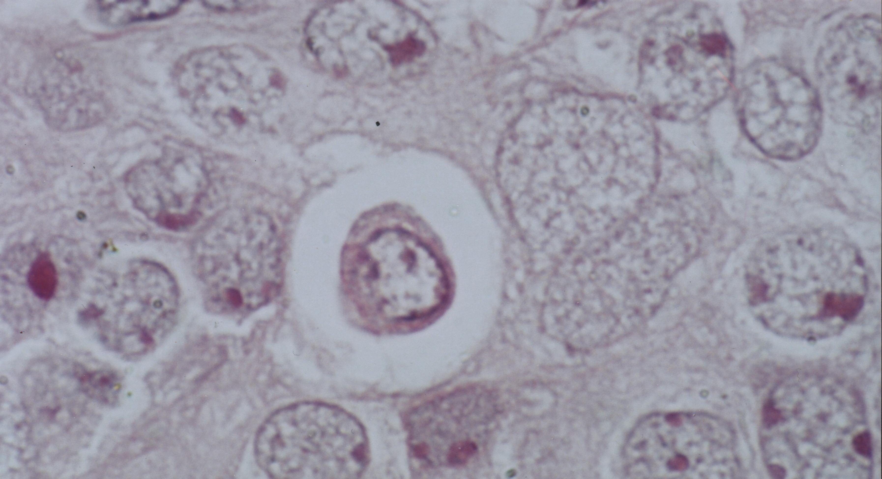
Stem cell niche halo
Stem cell niche: Halo formation between inner and outer membrane. (Medullary carcinoma of breast)
The Niche Architecture and Structure of Cancer Stem Cells
© 1993-2005 by the ISPO | About this Website | Contact Information