|
Home
|
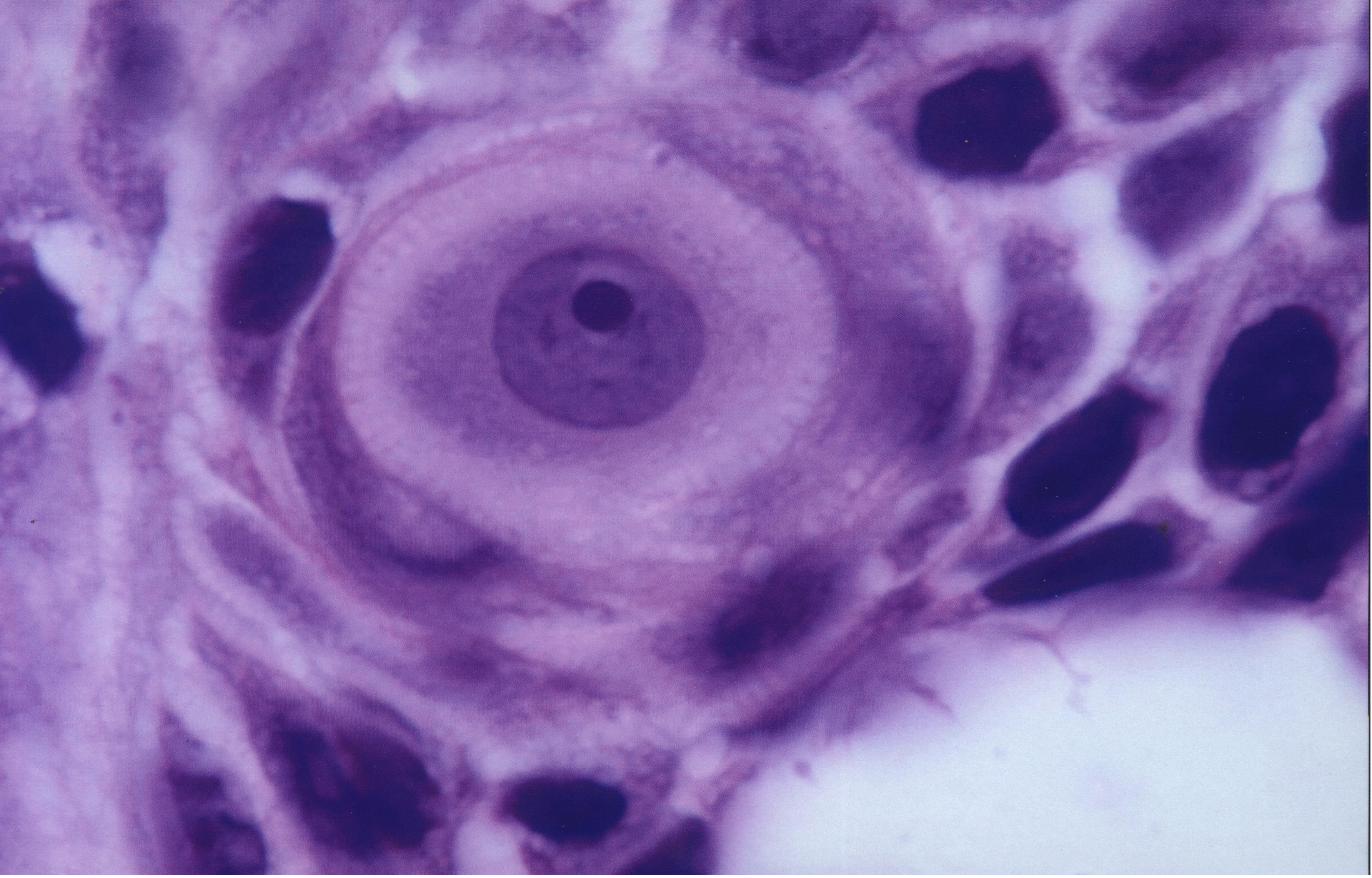
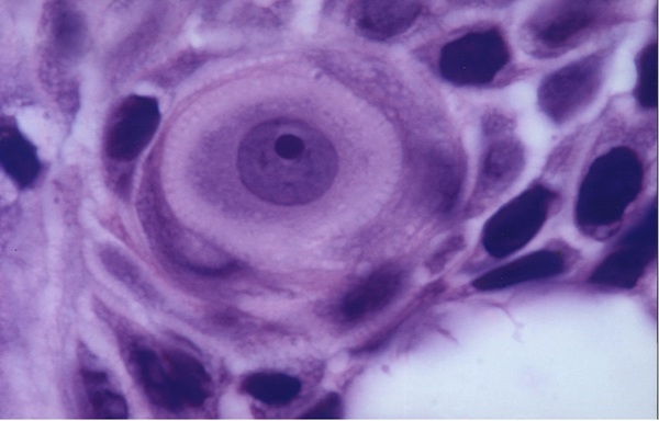
Stem cell niche halo (see also low power: AACR_Scan05.jpg , DSC_1475.jpg) Stem cell niche: Cell in quiescent state; halo formation between inner and outer membrane; niche surrounded by closely attached support cells. (High-grade intraepithelial neoplasia) |
This Page Last Updated
Site Contents
|