[full size image]
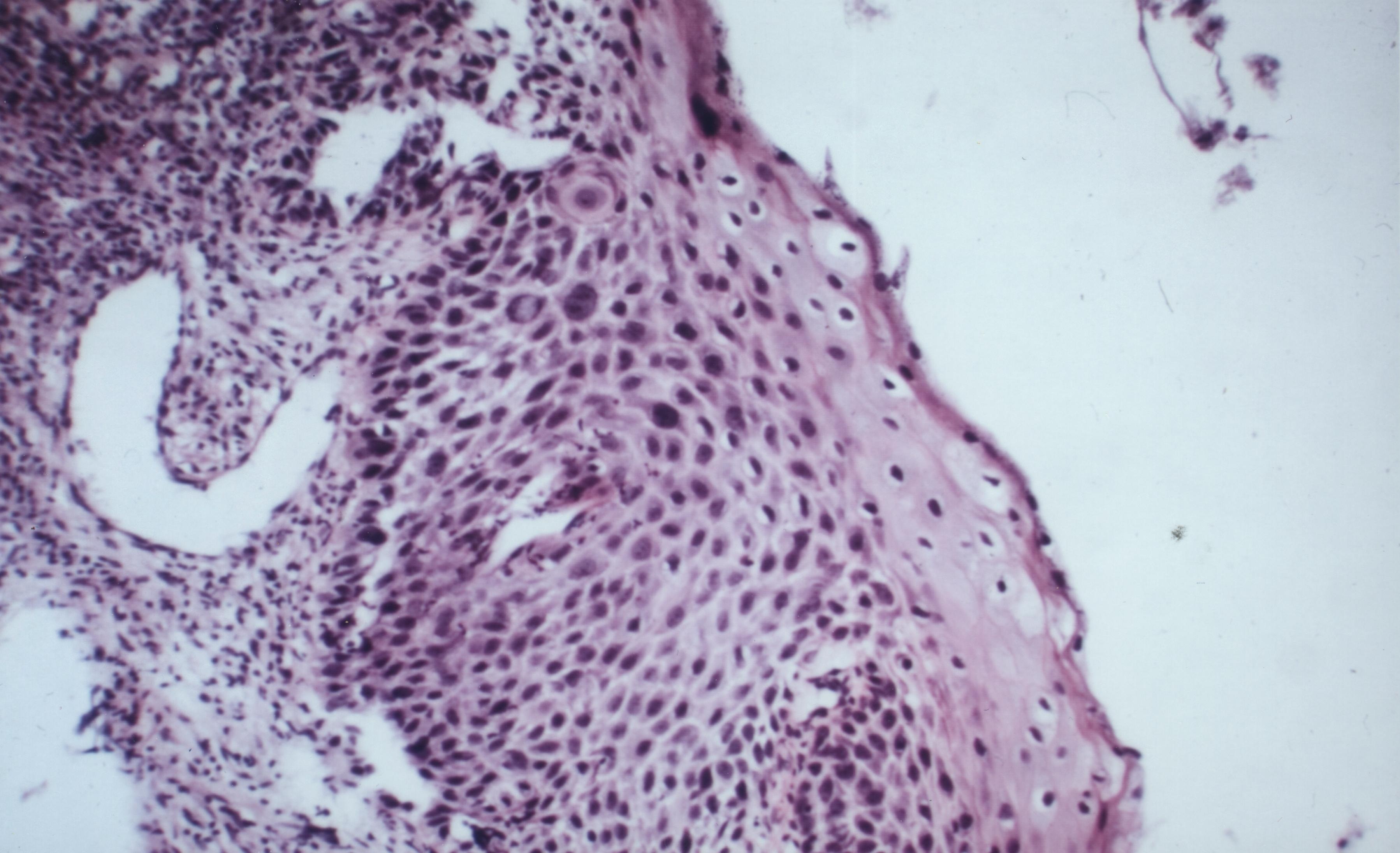
Stem cell niche halo
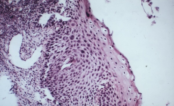
(see high power: AACR_Scan04.jpg) High-grade intraepithelial neoplasia of uterine cervix (duplicate: DSC_1475.jpg)
The Niche Architecture and Structure of Cancer Stem Cells
© 1993-2005 by the ISPO | About this Website | Contact Information