|
Home
|
|
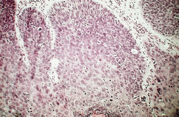
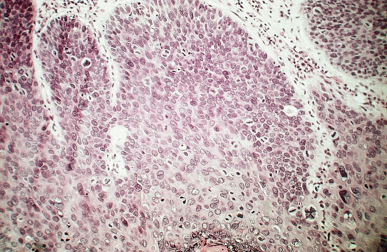
cervix - Infiltrating squamous cell carcinoma - Niche with asymmetric division (see high power 01120001.jpg) Niche surrounded by support cells with one self-renewal daughter cell (arrow) consisting of spheres and one differentiated tumor cell. (Infiltrating squamous cell carcinoma of uterine cervix [2]) |
This Page Last Updated
Site Contents
|