|
Home
|
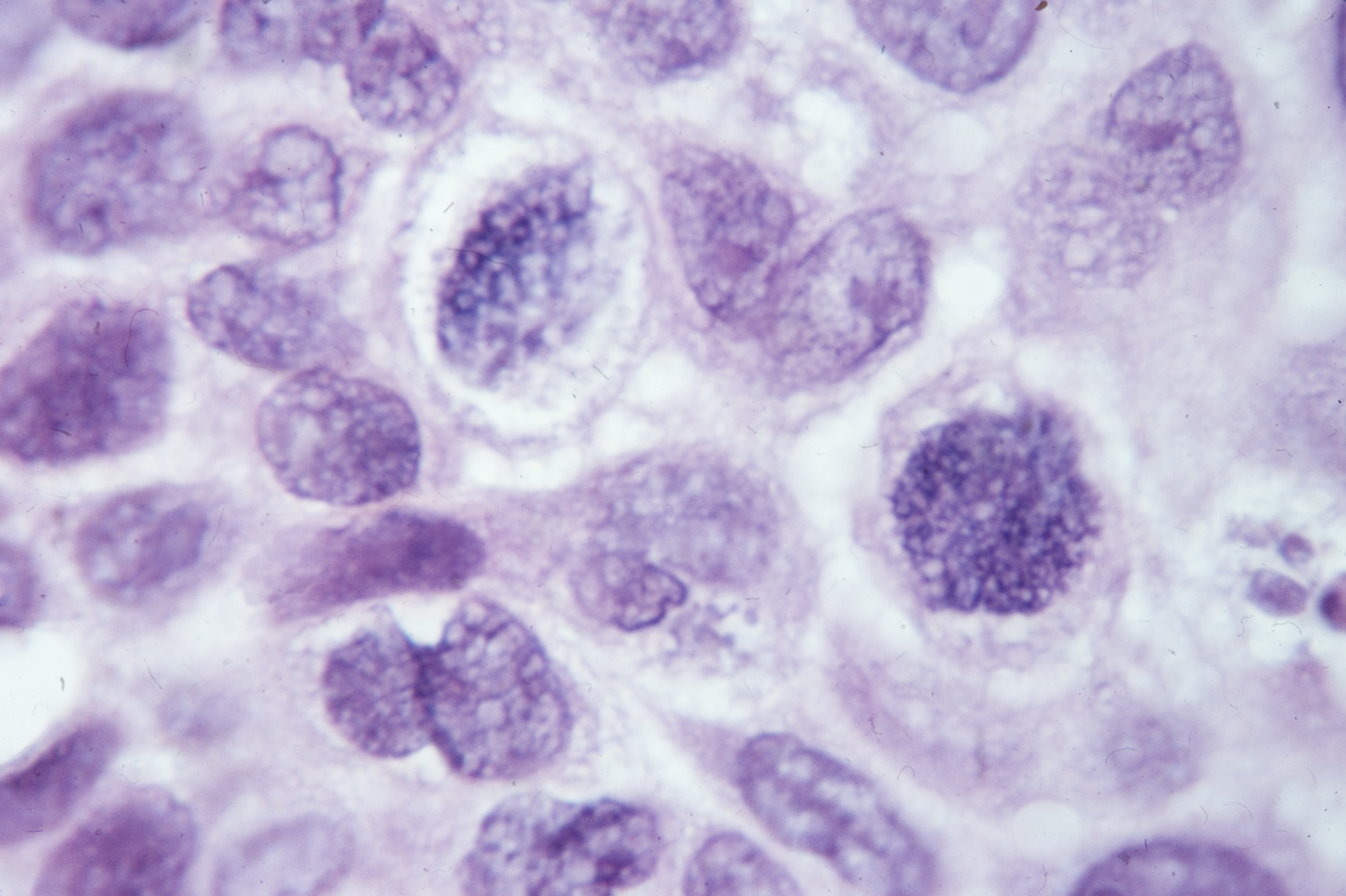
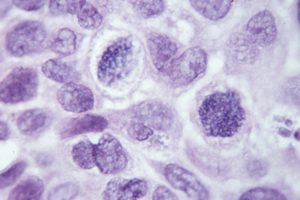
Asymmetric division papillary adenocarcinoma uterine cervix Asymmetric division: Self-renewal daughter cell and progenitor cell consisting entirely of spheres with uniform luminal diameters. (Papillary adenocarcinoma of uterine cervix [3]) (duplicates: 01120006.jpg |
This Page Last Updated
Site Contents
|