|
Home
|
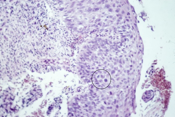
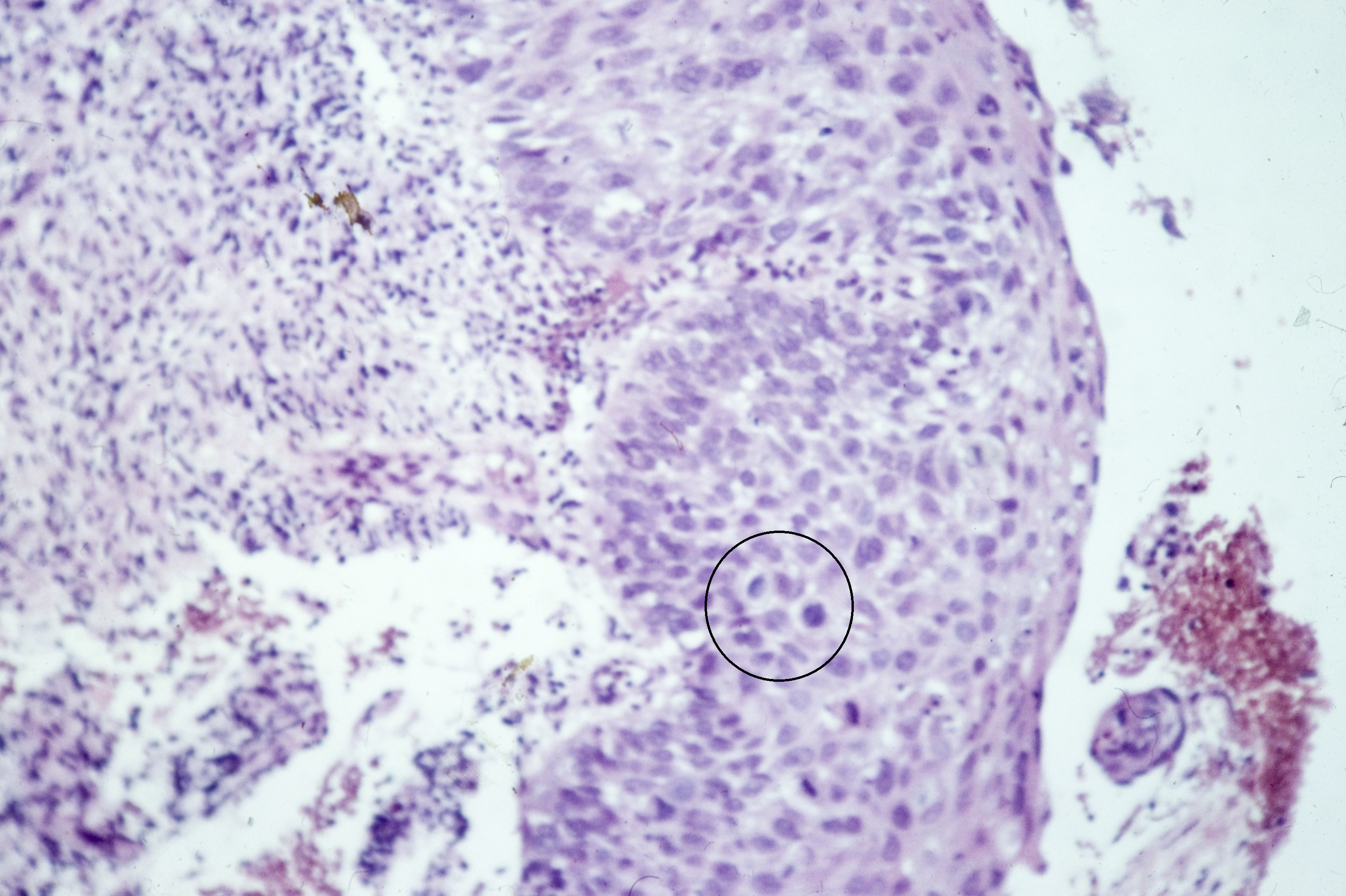
Asymmetric division papillary adenocarcinoma (see high power: DSC_1470.jpg; see also: 01120007.JPG ) Asymmetric division: Self-renewal daughter cell and progenitor cell consisting entirely of spheres with uniform luminal diameters. (Papillary adenocarcinoma of uterine cervix [3]) |
This Page Last Updated
Site Contents
|