First page Back Continue Last page Overview Text

Notes:


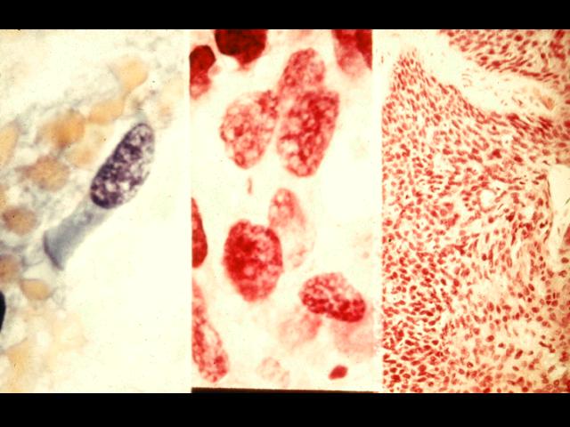
Comparison of identical structures in Bronchial cell and tumor cells of cervical interepithelial lesion